Dental Smile Gallery San Antonio

Dentistry Before and After Photos

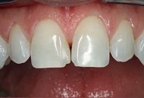
before

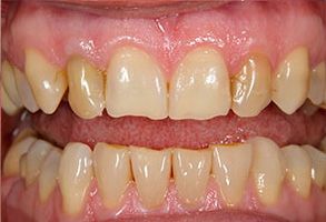
Before

Berchelmann Family Dental | Emergency Treatment, Digital Impressions and Dental Bridges

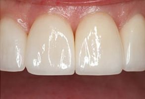
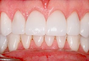
After

Berchelmann Family Dental | Dental Cleanings, ClearCorrect reg  Orthodontics and Periodontal Treatment

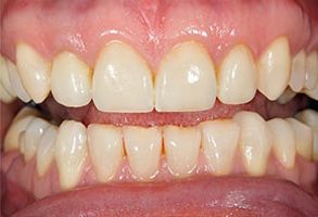
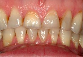
Before

Berchelmann Family Dental | Sleep Apnea, Dental Bridges and Extractions

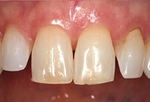
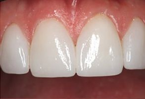
After

Berchelmann Family Dental | Sleep Apnea, ClearCorrect reg  Orthodontics and Dentures

Before

Berchelmann Family Dental | Preventative Program, CBCT  Catscan 3D Imaging  and Cosmetic Dentistry

After

Berchelmann Family Dental | CBCT  Catscan 3D Imaging , Implant Dentistry and Dentures

Before

Berchelmann Family Dental | Emergency Treatment, Dentures and Preventative Program

After

Berchelmann Family Dental | Dental Bridges, Ceramic Crowns and Dentures

Before

Berchelmann Family Dental | Implant Dentistry, All-on-6 reg  and Sleep Apnea

After

Berchelmann Family Dental | Night Guards, Sedation Dentistry and Snoring Appliances

Before

Berchelmann Family Dental | Oral Exams, Veneers and Dental Cleanings

After

Berchelmann Family Dental | Root Canals, Oral Exams and Teeth Whitening

Before

Berchelmann Family Dental | Ceramic Crowns, Dental Fillings and Implant Dentistry

After

Schedule a visit today!
Contact Us
Submit

Thank You!

We appreciate you taking the time to visit our site. We'll review your message and be in touch with you soon.

Continue
Contact San Antonio Cosmetic Dentist